


What Are Wisdom Teeth?
Wisdom teeth are your last molars, erupting in your late teens or early twenties. Only some get them, and not all cause problems. Ideally, they grow straight and healthy, contributing to chewing. However, they often become impacted (stuck), leading to pain, infection, and crowding. This is why many oral surgeons recommend removal if they’re problematic. While named for appearing when you’re “wiser,” they won’t boost your intelligence!
Why Do We Have Wisdom Teeth?
Wisdom teeth, known as third molars, are remnants of our evolutionary past. They were helpful to our ancestors who consumed rougher, harder-to-digest diets, which required additional chewing power. However, the need for these extra molars diminished with the advent of cooking and the softening of diets over time.
Consequently, many people experience problems, such as impaction, overcrowding, and infection, due to insufficient space in the jaw. These issues often necessitate their removal through oral surgery. While some individuals may never develop third molars, their presence in the human jaw remains a vestigial trait, a reminder of our evolutionary history.
Despite their diminishing functional significance, wisdom teeth are an intriguing subject for evolutionary biologists studying human anatomy and the remnants of our past adaptations.
Why do our ancestors need them?
1. Dietary Adaptation: Our ancestors consumed more challenging, rougher foods like roots, nuts, and raw meats.
2. Additional Chewing Power: Wisdom teeth provided extra molars for effectively grinding and breaking down these tough foods.
3. Lack of Food Processing Techniques: Unlike modern times, where food is often processed and cooked, early humans needed such technologies, necessitating a more robust chewing apparatus.
4. Survival Advantage: Efficient chewing helped extract maximum nutrition from available food sources, aiding survival and reproductive success.
5. Jaw Size and Structure: Early humans had more enormous jaws to accommodate more teeth, including wisdom teeth, as part of their natural dentition.
6. Evolutionary Heritage: Wisdom teeth are remnants of our evolutionary past, indicating a time when they served a more crucial role in our diet and oral function.
Do humans nowadays require wisdom teeth?
In modern times, the necessity of third molars has dramatically diminished. Due to changes in dietary habits, food processing advancements, and jaw size and structure alterations, many people do not require wisdom teeth for proper oral function.
Additionally, most individuals do not have enough space in their jaws to accommodate the eruption of third molars leading to impaction, crowding, and infection. As a result, wisdom teeth often become problematic and require removal through oral surgery.
While some individuals may retain their wisdom teeth without experiencing complications, their presence is generally considered vestigial in the context of contemporary human anatomy and oral health. Therefore, the functional necessity of third molars in modern humans is minimal, and their removal is a common practice to prevent potential dental problems.
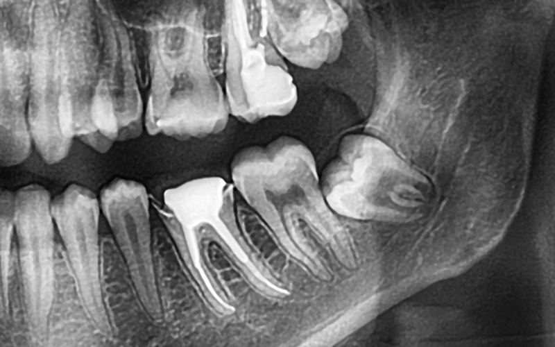
Problems Associated
While some people have no problems, others experience issues that may necessitate removal. Here are five of the most common problems:
1. Impaction: It occurs when there’s not enough space in the jaw for the wisdom tooth to erupt correctly. Impacted teeth can grow at an angle, pushing against other teeth or becoming stuck under the gum tissue. Pain, swelling, and infections are the major symptoms.
2. Infection: Impacted third molars are difficult to clean, which can lead to plaque and bacteria buildup, eventually causing an infection (pericoronitis). Symptoms of infection include pain, swelling, redness, and bad breath.
3. Damage to other teeth: Impacted wisdom teeth can crowd or damage surrounding teeth, leading to misalignment, bite problems, and tooth loss.
4. Cysts and tumors: In rare cases, it can lead to the formation of cysts or tumors in the jaw. These can cause pain, swelling, and damage to bone and tissue.
5. Difficulty opening the mouth: In some cases, impaction can make it difficult to open the mouth wide, interfering with eating, speaking, and other activities.
Wrap Up!
In conclusion, the necessity of wisdom teeth in modern humans has significantly diminished due to diet and jaw structure changes. Many individuals experience complications requiring removal, often through procedures performed by professionals like Beverly Hills Oral and Facial Surgeon.
With their expertise, they ensure optimal oral health and comfort. Don’t let wisdom teeth woes hold you back! Visit Beverly Hills Oral and Facial Surgeon today for expert care and a brighter smile. Schedule your consultation now and bid farewell to dental dilemmas for good. Your smile deserves the best!

